美国NIH:SARS-CoV-2能持续感染全身多个器官甚至大脑!

时间:2022年1月10日
来源:生物通

编辑推荐:

美国NIH领导的一项研究,对44例感染COVID-19后死亡的患者进行了完整的全身和脑取样的尸检,证明即使是无症状感染者和轻症感染者体内也广泛分布着SARS CoV-2病毒,病毒全身性的复制能够发生在感染早期。发病后,病毒RNA在肺外组织和大脑内续存最长超过230天。

广告
   X   

已知COVID-19在急性感染中会导致多器官功能障碍,部分COVID-19患者经历了长期症状,称为SARS- CoV-2急性后后遗症(PASC)。 然而,呼吸道之外其他器官的感染负荷以及其病毒清除的时间还不是太清楚,特别是在大脑中。 研究人员对从急性感染死亡到症状出现后超过7个月死亡的44名COVID-19死亡患者进行了完整的解剖,以定位和量化SARS-CoV-2在包括大脑在内的整个人体的分布、复制和对细胞类型的特异性。 结果发现,SARS-CoV-2在人体内广泛分布,即使在无症状至COVID-19轻度症状的死亡患者中;而且在感染早期,病毒已经多处肺部以及肺外组织中存在复制。 此外,在多个解剖部位——包括整个大脑区域,可检测到持续存在的SARS-CoV-2 RNA,最长的在出现症状后230天。 尽管SARS-CoV-2在体内广泛分布,但肺部以外的组织缺乏炎症现象或直接的病毒细胞病理。 分析数据表明,SARS-CoV-2会引起全身感染,并可在体内持续数月。

这篇文章在线发表在《Research Square》,Nature系列期刊已经与Research Square合作,提供期刊整合的预印预览。

本文首先采用微滴式数字PCR(ddPCR)定量11名COVID-19患者死亡后的全身和大脑样本中的病毒RNA水平,结果发现全身各组织每ng总RNA含有 0.002到500,000个病毒基因拷贝。

作为一种RNA病毒,SARS-CoV-2进入宿主细胞复制基因组RNA并产生许多较小的RNA,称为亚基因组RNA(subgenomic RNA,sgRNA)。 本文通过qRT-PCR检测病毒的sgRNA提示了最近复制的病毒的分布,发现超过60%的组织样本中检测到了sgRNA。再通过分离病毒细胞培养证实了肺外组织中存在具有复制能力的SARS-CoV-2。

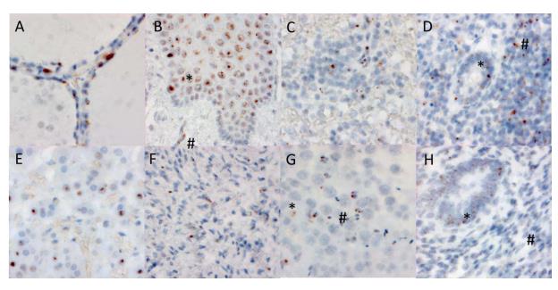
病毒sgRNA合成SARS-CoV-2开始所需的各种蛋白质(刺突蛋白、囊膜蛋白等)。运用检测位于完整细胞中目标RNA的原位杂交(ISH)检测技术RNAscope,放大特异性信号而非噪音信号,从而原位定位定量RNA丰度。研究人员观察到在尸检不同器官细胞类型中(食管、甲状腺、卵巢、睾丸等),SARS-CoV-2病毒的刺突RNA在外观上定位于高尔基体和内质以及核周围(下图500倍放大)。结合qRT-PCR数据,表明SARS-CoV-2在某些个体感染后可在组织内复制3个月以上,RNA在长达230天的时间内无法从多个隔室中清除。

小脑切片免疫组化显微观察在小脑的分子层、颗粒层和白质中都发现了SARS-CoV-2病毒蛋白。

最后,利用高通量,单基因组扩增和测序(HT-SGS),研究人员鉴定了SARS-CoV-2刺突变体在6名死者身上的多样性和解剖分布。单基因组测序方法的使用使我们能够证明许多组织中的同质病毒群,同时也揭示了其他组织中的信息性病毒变体。值得注意的是,脑源性病毒刺突序列与其他组织的序列相比显示出非同义差异。这些差异可能表明大脑中抗病毒抗体与其他部位对峰值的选择压力可能不同,还需要进一步的研究来证实这一推测。


此前有学者怀疑SARS CoV-2病毒在体内的传播是通过细胞传递的,理由是新鲜血液培养病毒的失败。这篇文章提出了新的证据,在早期病毒血症阶段,病毒已经扩散到了全身。尽管本文样本大多数来自重症患者,作者仍在两例轻呼吸道症状(家中发生了致命的肺栓塞)或无症状(在医院死于并发症)患者全身各处,包括大脑,找到了有新复制迹象的SARS CoV-2病毒RNA,另外两例早期病例的纵隔淋巴结和眼组织中能够分离出病毒。新的数据说明SARS CoV-2病毒存在清除延迟的证据,尽管在症状出现数月后死亡的患者中没有发现呼吸道以外的显著炎症。了解SARS-CoV-2持续存在的机制以及宿主对病毒持续存在的细胞和亚细胞反应有望提高对SARS-CoV-2急性后遗症的理解和临床管理。

原文检索:SARS-CoV-2 infection and persistence throughout the human body and brain
DOI:10.21203/rs.3.rs-1139035/v1

生物通微信公众号
微信
新浪微博


生物通 版权所有