编辑推荐:
针对濒危鹦鹉喙羽病病毒(BFDV)缺乏有效疫苗的难题,南非开普敦大学团队通过植物瞬时表达系统(Nicotiana benthamiana)成功生产BFDV衣壳蛋白(CP),经密度梯度纯化后免疫日本鹌鹑,首次证实植物源抗原可诱导血清和卵黄抗体(IgY)应答。该研究为开发低成本、安全的BFDV亚单位疫苗奠定基础,发表于《Archives of Virology》。
背景与挑战
喙羽病病毒(Beak and feather disease virus, BFDV)作为最小的单链DNA病毒之一,正严重威胁全球78种鹦鹉的生存,尤其使南非濒危物种海角鹦鹉的圈养种群年损失率达10-20%。这种高度传染性病毒通过粪便、羽毛碎屑传播,尚无商业化疫苗。传统疫苗生产平台面临产量低、成本高的瓶颈,而植物表达系统凭借无动物病原体污染、可进行真核翻译后修饰等优势,成为新型疫苗开发的突破口。
研究设计与技术路线
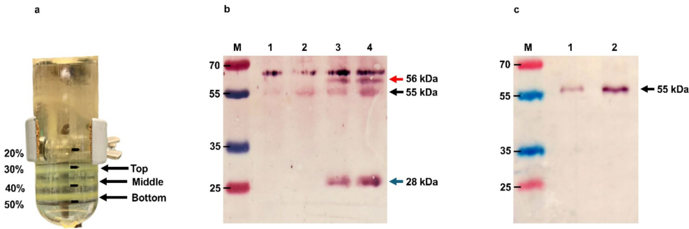
南非开普敦大学分子与细胞生物学系Sandiswa Mbewana团队利用自主复制的豆黄矮病毒载体(pRIC3.0)在烟草本氏草(Nicotiana benthamiana)中瞬时表达BFDV衣壳蛋白(CP),通过优化提取缓冲液(含Triton X-100和L-精氨酸的DB150)结合蔗糖垫层-碘克沙醇密度梯度离心两步纯化法,将CP产量提升至1.58 mg/kg鲜重。选用日本鹌鹑(Coturnix japonica)模型评估免疫原性,采用弗氏佐剂乳化抗原进行三次肌肉注射,通过水稀释-盐沉淀法从卵黄提取IgY抗体。
关键结果
1. 表达与纯化优化
通过共浸润沉默抑制子pBIN-NSs,BFDV CP在植物中成功表达。Western blot显示28 kDa单体及56 kDa二聚体,经密度梯度离心后富集于30%-40%碘克沙醇界面。凝胶光密度分析证实CP纯度显著高于前人报道的CsCl纯化方案。

2. 鹌鹑免疫应答
第三次加强免疫后7天,1:2000稀释血清可特异性识别CP及其二聚体。卵黄IgY在第二次免疫后两周达到检测阈值(0.5 mg/mL),但第三次免疫后抗体滴度下降,可能与采样时间窗口有关。

3. 抗体特异性验证
卵黄IgY能识别植物源CP,而空载体对照组无交叉反应。值得注意的是,55 kDa植物RuBisCO蛋白的共纯化可能影响免疫应答方向,这为后续工艺优化指明重点。
结论与展望
该研究首次证明植物表达的BFDV CP能在鸟类模型中诱导功能性抗体应答,突破性地将鹌鹑卵黄IgY开发为抗体生产平台。尽管当前产量距商业化需求(>50 mg/kg)仍有差距,但为濒危鹦鹉保护提供了可扩展的疫苗解决方案。未来研究需聚焦RuBisCO去除工艺优化、中和抗体效价评估及保护性免疫验证,推动该植物疫苗从实验室走向临床应用。
生物通 版权所有