编辑推荐:
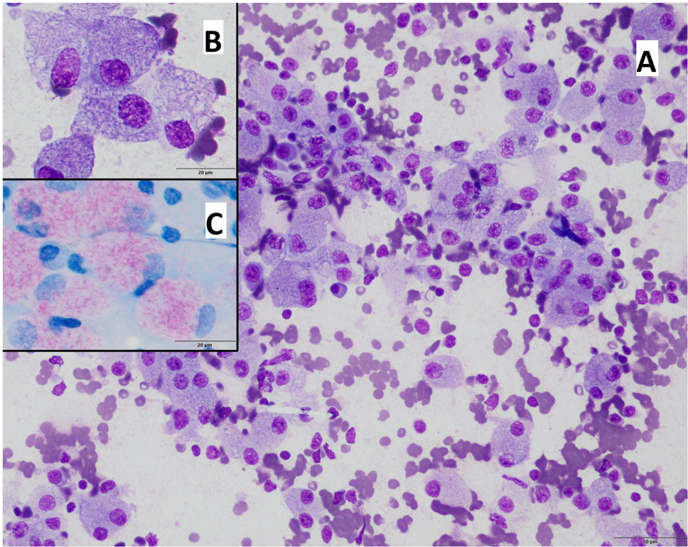
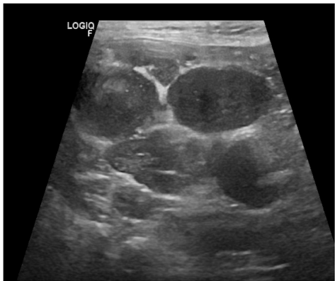
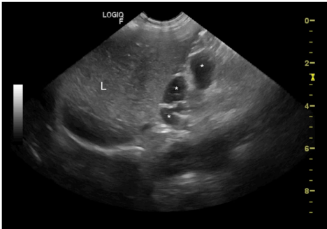
本刊推荐:针对犬类全身性淋巴结病变易误诊为淋巴瘤的问题,研究人员通过一例迷你雪纳瑞犬的临床案例,开展鸟分枝杆菌复合体(MAC)感染模拟恶性肿瘤的鉴别诊断研究。通过细胞学染色、分子鉴定(GenoType Mycobacterium CM)及药敏测试,确诊MAC感染并调整治疗方案(克拉霉素替代利福平)。结果强调齐尔-尼尔森染色在细胞学检查中的关键作用,揭示迷你雪纳瑞犬可能存在CARD9基因相关的免疫缺陷易感性。该研究为罕见人兽共患病的精准诊疗提供重要参考,发表于《BMC Veterinary Research》。





生物通 版权所有